Chirurgien-dentiste pour pose d’implant dentaire à Paris 17
L’implantologie vous permet de remplacer les dents absentes par une solution fixe, esthétique et confortable. L’implant dentaire est une racine dentaire artificielle en titane, une sorte de « cheville », qui vient remplacer la racine de la dent extraite.
Avant de mettre en place un implant dentaire, nous devons nous assurer que vous présentez un volume osseux suffisant (hauteur et épaisseur d’os) à l’aide d’un examen radiologique 3D (Cone Beam). Si l’os n’est pas présent en quantité suffisante, il est parfois nécessaire de passer par des greffes osseuses.
La mise en place chirurgicale de l’implant dentaire se fait sous anesthésie locale. C’est un acte indolore dont les contre-indications sont rares. Une fois l’implant ostéo intégré (soudé à l’os), nous l’utilisons pour fixer une prothèse dentaire. Cette prothèse peut être une simple couronne si une seule dent est à remplacer, ou un bridge si plusieurs manquent à l’appel.
Les implants peuvent aussi nous aider à stabiliser un appareil dentaire amovible complet (vulgairement, un dentier) à l’aide de systèmes de type bouton-pression. La partie mâle situé sur l’implant vient se « clipper » sur la partie femelle située à l’intérieur de l’appareil amovible.
Prenez rendez-vous pour des implants dentaires avec
le Dr Youri Emsallem, chirurgien-dentiste à Paris :
Le Bilan Pré Implantaire
Vous souhaitez remplacer une ou plusieurs dents absentes par des implants dentaires. Cela ne s’improvise pas. La mise en place d’un ou plusieurs implants dentaires est souvent un acte simple s’il a été bien préparé en amont.
Chaque patient est unique et chaque situation est différente. Cela nécessite donc un bilan rigoureux qui va permettre de rendre une situation souvent anxiogène pour le patient en un traitement simple et efficace.
Cette analyse comporte plusieurs phases :
- L’entretien : au cours de cette première visite, nous allons prendre connaissance de vos attentes et de vos besoins. Il est fondamental pour le bon déroulement de notre relation thérapeutique que vous receviez une information claire et complète sur les soins qui vous attendent. N’hésitez pas à nous solliciter en ce sens, nous attachons une importance toute particulière à répondre à toutes vos interrogations! Nous prendrons également le temps de discuter de vos antécédents médicaux afin de nous assurer que votre état de santé général est bien compatible avec les interventions nécessaires à votre traitement.
- L’examen clinique : il s’agit d’évaluer votre santé bucco dentaire dans son ensemble. L’implantologie ne peut s’envisager que dans une bouche saine. Un examen complet est donc réalisé pour nous assurer de l’absence de pathologies dentaires (caries ou infections) ou de maladies parodontales (gencive inflammatoire, déchaussement des dents…). Le contexte esthétique est aussi très important lorsqu’il s’agit de remplacer une ou plusieurs dents visibles lorsque vous souriez.
- Le scanner dentaire ou Cone Beam : il est indispensable pour poser un implant dentaire dans de bonnes conditions. Nous serons en mesure de réaliser cet examen au cabinet à l’aide d’un Cone Beam de dernière génération. Cet appareil nous permettra de réaliser des images très précises avec des doses d’irradiations plus faibles qu’un scanner dentaire conventionnel.
- Le devis : le bilan complet réalisé, nous sommes maintenant en mesure de vous établir un devis précis afin que vous puissiez prendre connaissance du coût de votre traitement.


Nos cas cliniques avec les implants
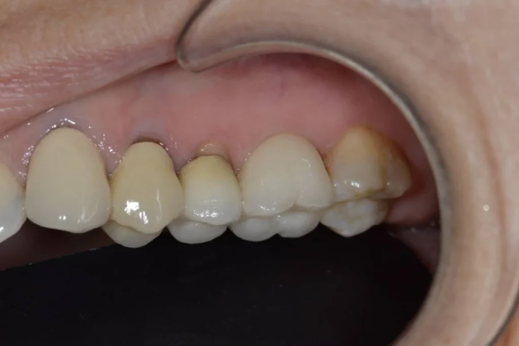
Cas clinique 1 – Remplacement d’une incisive centrale par un implant dentaire et une couronne tout céramique
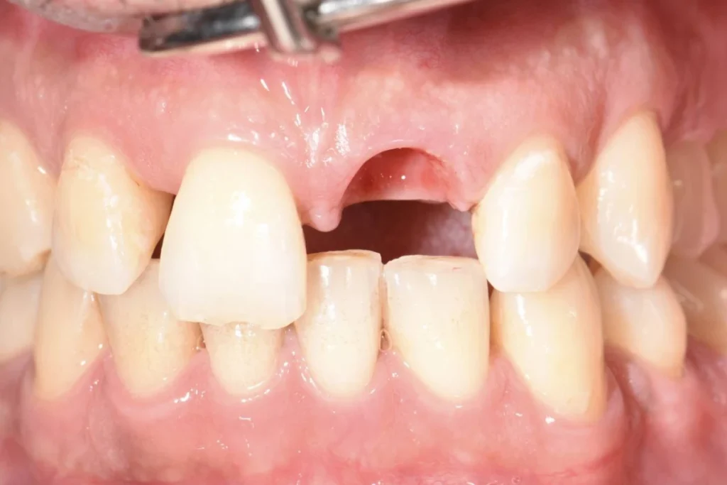
Mr M., 33 ans, se présente à la consultation suite à un traumatisme survenu à la boxe. La facette dentaire réalisée il y a plusieurs années par un confrère a été perdue après un coup encaissé au visage.
Le patient souhaite remplacer sa prothèse pour pallier au préjudice esthétique en urgence. Malheureusement, la dent présente une carie qui ne permet plus de conserver cette dent. Une dent provisoire est réalisée au cabinet afin de gérer l’urgence esthétique évidente et de permettre au patient de réfléchir aux soins proposés « à tête reposée » 🙂
Après un traitement parodontal initial nous permettant de mettre l’environnement buccal dans les meilleures conditions pour l’intervention, nous décidons avec le patient de planifier la chirurgie. Un protocole d’extraction implantation et mise en esthétique immédiate est décidé afin d’éviter au patient le port d’une prothèse amovible.
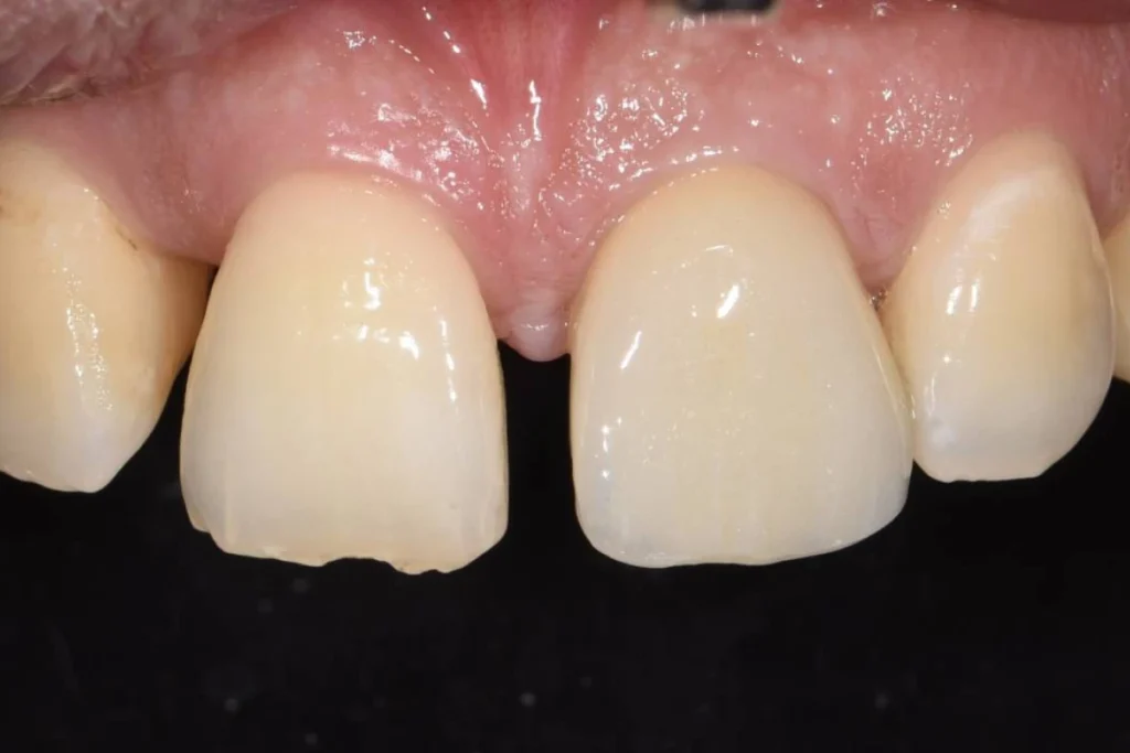
Le patient repart du cabinet avec une couronne fixée à l’implant tout juste mis en place! En contre partie, le patient devra faire l’effort de ne pas solliciter sa dent lors des repas afin de laisser l’implant s’ostéo intégrer (se souder) à l’os.
L’intervention est réalisée sous anesthésie locale et doit être complètement indolore. Le patient est revu 3 mois après l’intervention pour prendre une empreinte. Le patient est invité à se rendre au laboratoire de prothèse situé dans le 17ème afin de discuter de la forme de la dent avec l’artisan céramiste. Dans le cas présent, il souhaitait conserver l’écart existant entre ces incisives afin de conserver l’identité de son sourire.
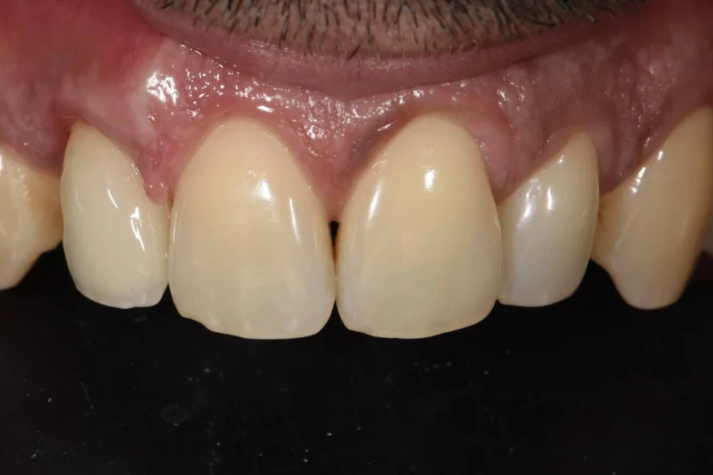
Lors de cet entretien, le prothésiste enregistre également toutes les données de teinte et d’état de surface des dents adjacentes afin de faire la parfaite illusion d’une dent naturelle.
Environ une semaine après la prise de l’empreinte, un essayage est réalisé au cabinet. Si tous les paramètres esthétiques et fonctionnels sont validés, la couronne est posée dans la foulée.
Il est parfois nécessaire de prendre le temps d’une retouche au laboratoire afin d’obtenir le rendu escompté.





Cas clinique 2 – Remplacement d’une incisive latérale par un implant dentaire
Mr C. 40 ans vient nous consulter pour une visite de routine. L’examen clinique et met en évidence un infection sous une dent couronnée il y plusieurs années par un confrère. Le scanner réalisé au cabinet confirme la nécessité d’extraire cette dent et nous décidons de réaliser un protocole d’extraction implantation et mise en esthétique immédiate.
En clair, nous réalisons l’extraction de la dent, la mise en place de la racine artificielle ou implant et la fabrication d’une couronne provisoire en résine le tout lors de la même séance. Le patient repart du cabinet avec toutes ses dents!
Dans le cas présent, nous avons même pu répondre à la demande esthétique du patient en symétrisant son incisive latérale droite avec celle de gauche. L’intervention est réalisée sous anesthésie locale ce qui la rend parfaitement indolore.
Ce type de protocole est réalisé systématiquement au cabinet lorsque la situation nous le permet afin d’éviter à nos patients la galère d’un appareil provisoire amovible pour remplacer la dent absente. En contrepartie, le patient s’engage à respecter nos recommandations post opératoires pendant les semaines qui suivent l’intervention.




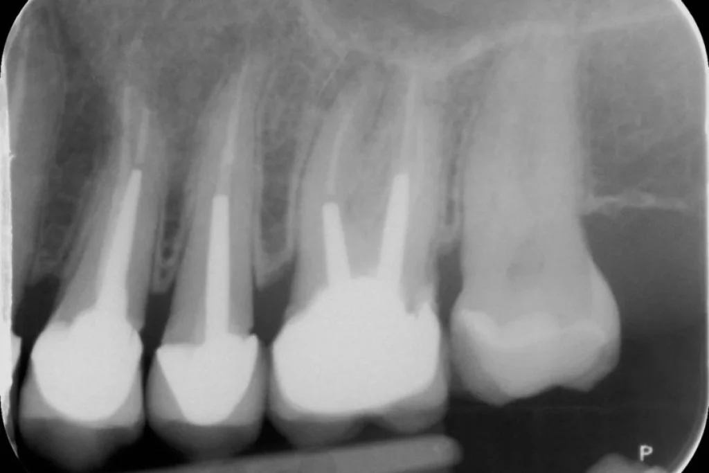
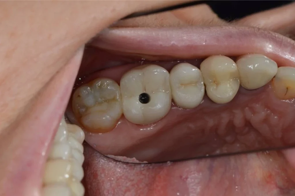
Cas clinique 3 – Mise en place d’un implant dentaire le jour de l’extraction
Nous vous présentons le cas de Mme B. 53 ans, qui consulte suite à des douleurs sur sa molaire supérieure gauche.
Après un examen clinique et radiographique, le verdict tombe… la dent n’est malheureusement plus conservable.
Après lui avoir exposé les différentes solutions, Madame B. souhaite remplacer sa dent par un implant. C’est la solution de choix pour retrouver une dent fixe sans avoir à abimer les dents de part et d’autre. L’analyse du scanner nous permet de proposer à Madame B. une extraction implantation immédiate. Il s’agit de réaliser en une seule et même séance l’extraction de la dent condamnée et la mise en place de l’implant dentaire.
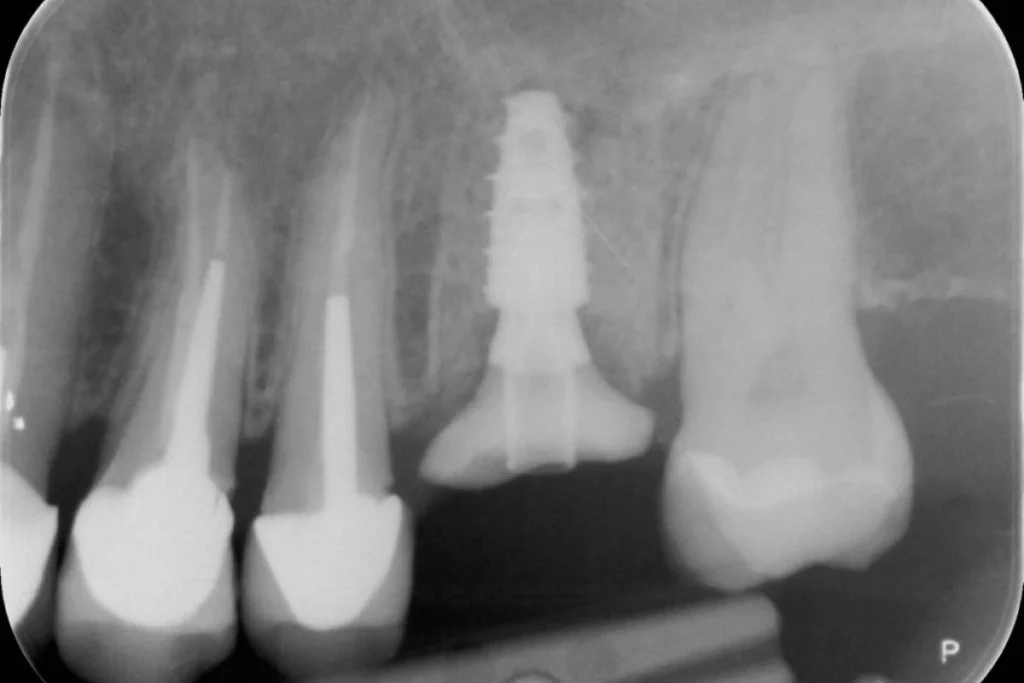
Cela permet d’éviter une 2ème chirurgie à notre patiente et de raccourcir la durée du traitement de plusieurs mois. Un comblement osseux est réalisé le jour de l’intervention.
3 mois après la pose de l’implant, la patiente peut retrouver une dent fonctionnelle et esthétique.





