Chirurgien-dentiste pour soigner la gingivite ou la parodontite à Paris 17
Le Docteur Youri Emsallem, Parodontologue à Paris 17ème vous propose des solutions adaptées à vos problèmes de gencive.
La parodontologie est la discipline qui vise à préserver vos gencives et l’os qui les supporte en bonne santé. De nombreux patients souffrent aujourd’hui de problèmes de gencives avec des conséquences plus ou moins importantes. Cela peut aller de petits saignements lors des brossages (gingivites) jusqu’à la perte des dents dans les situations les plus graves (parodontites sévères) !
Certains patients présentant des déchaussements de leurs dents pourront bénéficier de greffes gingivales à visée esthétique. Le traitement parodontal commencera toujours par une information claire permettant au patient de comprendre l’étiologie du problème afin de pouvoir en gérer les conséquences.

Greffes Gingivales à Paris
Les Greffes Gingivales à visée esthétique ou Greffes Gingivales de Recouvrement
Le cabinet dentaire du Dr Youri Emsallem, situé dans le 17ᵉ arrondissement de Paris, est spécialisé en soins dentaires esthétiques et parodontaux. Grâce à des techniques avancées, nous vous aidons à retrouver un sourire harmonieux et naturel. Parmi les solutions que nous proposons, la greffe gingivale de recouvrement est une intervention efficace pour corriger les récessions gingivales et restaurer l’équilibre entre la dent et la gencive.
De plus en plus de patients viennent nous consulter afin d’améliorer l’esthétique de leur sourire.
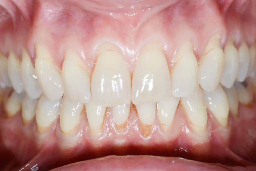
Le sourire c’est bien sûr les dents, leurs formes, leur alignement, leur teinte mais c’est aussi l’harmonie qui réside entre le « blanc » et le « rose ». Cet équilibre peut être perturbé par un déchaussement des dents entrainant une impression de « dents longues ».
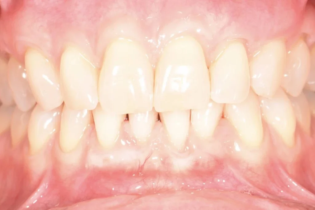
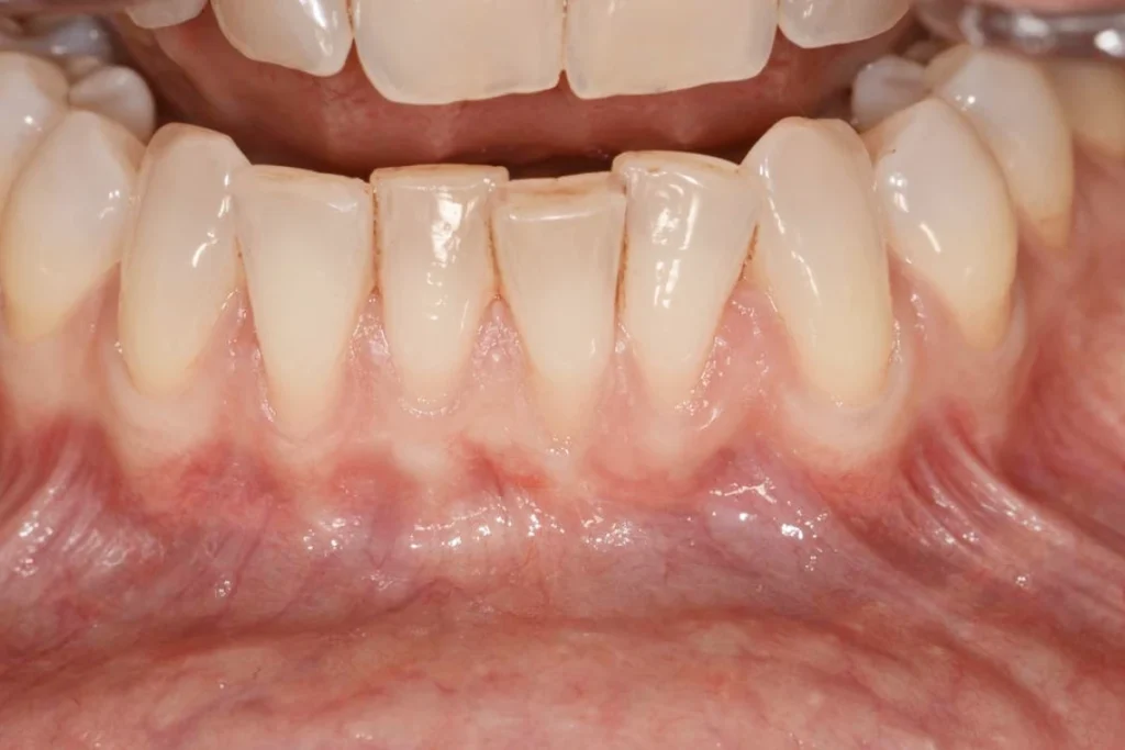
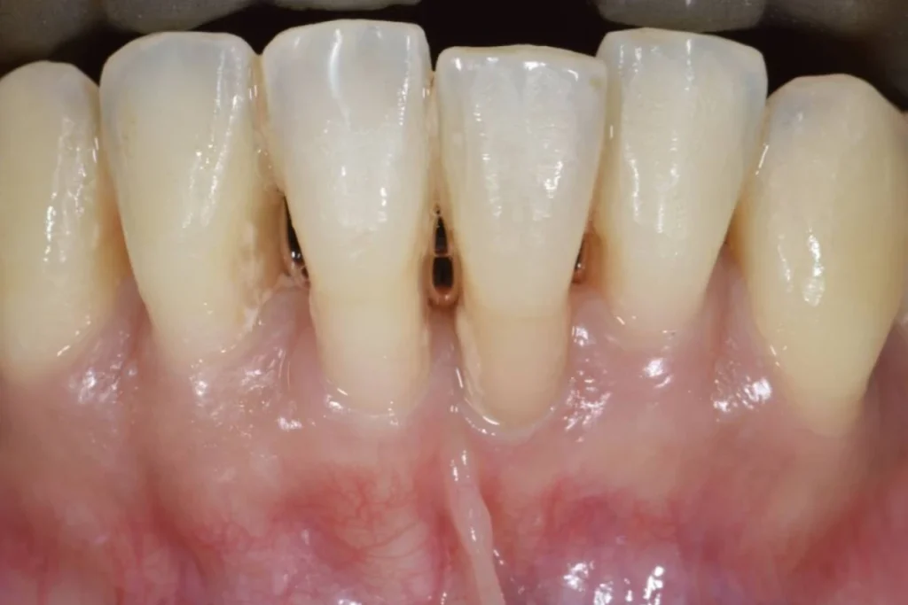
Le fait d’avoir les gencives qui se rétractent laissant apparaitre les racines des dents est appelé Récessions Gingivales.
Très souvent, ces récessions sont d’origine traumatique, dues à un brossage exercé avec une pression excessive et/ou avec une brosse à dents trop dure.
Vous pourrez plus de détails sur les causes des récessions dans un article dédié.
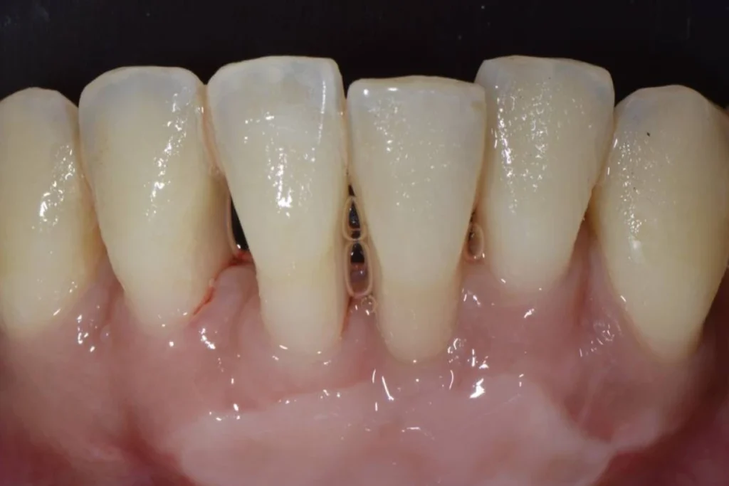
La thérapeutique mise en oeuvre pour rétablir la balance entre la gencive et les dents s’appelle la greffe de recouvrement gingival.




La technique consiste à prélever un greffon dans le palais du patient à l’aide d’un bistouri. Le greffon est ensuite positionné sous la gencive du patient dans la zone où elle fait défaut. L’ensemble est tracté et stabilisé par des sutures pour recouvrir les racines dénudées des dents.
Un pansement est positionné sur le site « donneur » au palais pour faciliter sa cicatrisation. L’intervention est réalisée sous anesthésie locale et se veut complètement indolore. Les suites post-opératoires sont généralement très faciles sur la zone greffée, plus désagréables au niveau du palais où a eu lieu le prélèvement.
- Une ordonnance est remise au patient en amont de l’intervention afin de faciliter le post op.
- Quelques recommandations sont également à respecter pendant les jours qui suivent notamment sur le plan alimentaire.
- Le tabac est à proscrire pour favoriser la réussite de la greffe.
- Des visites de contrôle sont programmées pendant les semaines qui suivent l’intervention pour s’assurer de la bonne guérison et du résultat de l’intervention.
Prenez rendez-vous avec le Dr Youri Emsallem à Paris 17
Si vous souhaitez retrouver un sourire harmonieux et corriger une récession gingivale, contactez dès aujourd’hui le cabinet du Dr Youri Emsallem pour une consultation personnalisée. Nous mettons notre expertise à votre service pour restaurer l’esthétique et la santé de vos gencives.
Contactez-nous dès maintenant pour une consultation au cabinet dentaire Paris 17.
Élongation coronaire à visée esthétique
Monsieur R, 33 ans, se présente à la consultation pour améliorer l’esthétique de son sourire. Après une consultation approfondie, nous posons le diagnostic d’une « éruption passive incomplète ». Cela signifie qu’une partie des dents du patient est « cachée » par un excès de gencive. Cela donne l’impression de dents trop petites et d’une gencive trop visible lors du sourire. On appelle cela un « sourire gingival ».
Le traitement va donc consister en une intervention chirurgicale qui permettra de retirer cet excès de gencive pour rendre visible les dents dans leur intégralité. L’intervention réalisée sous anesthésie locale est totalement indolore et les suites opératoires assez limitées. Après quelques jours de cicatrisation, le résultat est déjà présent et le patient ravi d’avoir améliorer l’aspect de son sourire sans avoir touché à ses dents !



Greffes de Gencive
La greffe de renforcement gingival
La greffe de renforcement gingival va nous permettre d’épaissir la gencive dans une zone où elle est fragile pour limiter le risque de déchaussement. Dans ces cas-là, le but n’est pas de recouvrir la racine qui peut être partiellement exposée mais seulement de venir renforcer cette gencive pour stopper le déchaussement. Cette technique très fiable n’est pas indiquée dans des zones visibles en raison d’un « effet rustine » qui peut être disgracieux.
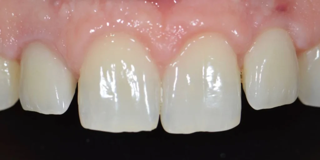
La greffe à visée esthétique
La greffe gingivale à visée esthétique est indiquée en cas de déchaussement d’une ou plusieurs racines dentaires visibles lors du sourire. Le patient consulte car il trouve ses dents plus longues et son sourire disharmonieux.
Le déchaussement peut également être à l’origine de sensibilités dentaires au chaud ou au froid car l’émail n’est pas présent sur la partie de la racine qui n’est plus recouverte de gencive. La greffe de gencive va permettre dans ces cas-là de remettre de la gencive dans la ou les zones où elle fait défaut.
Dans les 2 types de greffes le prélèvement est fait au niveau du palais du patient. Pas de rejet possible ou de problème d’allergie!
Les interventions se font sous anesthèsie locale. Une ordonnance est faite en amont de la chirurgie pour les jours suivants. Un contrôle post opératoire est toujours prévu environ 10 jours après l’intervention pour contrôler le résultat.


Gingivite et Parodontite
Quels traitements pour les maladies parodontales ?
La parodontologie est la discipline qui concerne les tissus de soutien des dents notamment la gencive et l’os. La gingivite est une inflammation de la gencive, la parodontite une inflammation du parodonte (gencive et os) comme la tendinite est une inflammation du tendon.
Dans le cas de la gingivite et de la parodontite, contrairement aux tendinites qui sont très souvent d’origine traumatique, la cause est d’origine infectieuse.
Ce sont les bactéries qui entrainent l’inflammation.
Le but de la thérapeutique sera donc d’éliminer ces bactéries.
Les conséquences de la gingivite sont totalement réversibles. La gencive retrouve son état antérieur lorsque l’inflammation est éliminée. C’est la grande différence avec la parodontite pour laquelle l’inflammation a été transmise à l’os qui a commencé à se détruire.
- L’os détruit ne se régénérera pas. C’est ce qu’on appelle vulgairement le déchaussement.
- Le but de la thérapeutique sera donc de stabiliser le niveau osseux et d’endiguer le phénomène.
Le traitement des maladies parodontales
Comme on l’a vu, ce sont les bactéries qui sont responsables de l’inflammation dans les maladies parodontales. Elles sont présentes sous la forme de plaque dentaire et de tartre. La plaque dentaire est la pélicule de résidus alimentaires qu’on retrouve sur les dents à la suite des repas.
Le but du jeu est de retirer la plaque dentaire suffisamment efficacement et régulièrement pour qu’elle n’ait pas le temps de stagner. C’est en stagnant que la plaque dentaire se minéralise et se transforme en tartre.
Une fois le tartre présent, il ne peut être retiré que par votre dentiste lors du détartrage / surfaçage. Le surfaçage correspond à un détartrage approfondi au cours duquel votre dentiste va éliminer le tartre collé à la surface des dents sous la gencive.
Le surfaçage n’est généralement pas plus douloureux qu’un détartrage superficiel mais votre dentiste pourra toujours procéder à une anesthèsie locale le cas échéant. Le fréquence des détartrages / surfaçages est décidée avec votre praticien en fonction de votre situation. Lorsque tout est « au vert », le patient est revu une fois par an.