Chirurgien-dentiste pour soins conservateurs à Paris 17
Découvrez tous nos soins conservateurs et quelques exemples de poses réalisées auprès de notre patientèle.
Inlays onlays en céramique avec le Dr Emsallem à Paris 3
Le cabinet dentaire du Dr Youri Emsallem, à Paris, vous propose une alternative efficace aux plombages traditionnels : les inlays onlays en céramique. Ces restaurations sur mesure permettent de traiter les dents cariées tout en conservant leur aspect naturel.
Les avantages des inlays-onlays
Contrairement aux amalgames métalliques ou aux composites classiques, les inlays-onlays présentent plusieurs atouts majeurs :
- Résistance accrue : La céramique est un matériau robuste qui offre une excellente durabilité.
- Aspect naturel : Les inlays-onlays sont fabriqués dans une teinte similaire à vos dents pour un rendu harmonieux.
- Préservation de la dent : Ils permettent d’éviter une dévitalisation prématurée et conservent un maximum de structure dentaire.
Restaurer ses dents avec des inlays onlays à Paris
Situé à Paris, le cabinet dentaire du Dr Youri Emsallem met à votre disposition des techniques modernes de restauration dentaire, notamment les inlays-onlays en céramique. Cette solution esthétique et durable est idéale pour traiter les caries profondes tout en préservant votre dentition naturelle.
Qu’est-ce qu’un inlay-onlay ?
Les inlays-onlays sont des prothèses dentaires personnalisées en céramique, conçues pour remplacer une partie importante de la dent endommagée par une carie. Contrairement aux plombages traditionnels, ils offrent une résistance supérieure et une esthétique incomparable.
- Inlay : Recouvre la partie interne de la dent, entre les cuspides.
- Onlay : Couvre une plus grande surface, incluant parfois une ou plusieurs cuspides.
Un inlay remplace la partie interne d’une dent abîmée, tandis qu’un onlay couvre une zone plus étendue, y compris les cuspides. Ces restaurations dentaires sur mesure garantissent :
- Une meilleure solidité que les plombages traditionnels.
- Une adaptation parfaite à la structure de votre dent.
- Une longévité accrue grâce à la céramique hautement résistante.
- Un résultat esthétique naturel qui s’intègre parfaitement à votre sourire.

Comment se déroule la pose ?
Après un diagnostic approfondi au cabinet dentaire du Dr Emsallem, nous réalisons une empreinte de votre dent avant de préparer la zone à traiter. L’inlay ou l’onlay est conçu sur mesure, puis fixé durablement à l’aide d’une colle dentaire ultra-résistante.
Vous recherchez un dentiste expert en inlays-onlays à Paris 16 ? Prenez rendez-vous dès maintenant avec le Dr Youri Emsallem et offrez à votre sourire une restauration esthétique et durable.
Soins dentaires de précision avec les inlays onlays à Paris 16
Le Dr Youri Emsallem, dentiste à Paris 16, vous propose une solution innovante et esthétique pour restaurer vos dents abîmées par des caries profondes : les inlays-onlays. Conçus en céramique, ces dispositifs prothétiques offrent une alternative durable aux plombages traditionnels en préservant la structure dentaire et en garantissant un rendu naturel.
Pourquoi choisir les inlays-onlays ?
Les inlays-onlays sont réalisés sur mesure pour restaurer la dent abîmée tout en assurant un confort optimal. Ils présentent plusieurs avantages :
- Résistance et durabilité : Bien plus solides que les plombages classiques, ils supportent les fortes pressions exercées lors de la mastication.
- Esthétique parfaite : Fabriqués en céramique, ils se fondent naturellement dans la teinte de vos dents.
- Préservation de la dent naturelle : Contrairement aux couronnes, ils permettent de conserver un maximum de structure dentaire saine.
Soins conservateurs inlays onlays pour restaurer vos dents à Paris
Le cabinet dentaire du Dr EMSALLEM, situé au cœur de Paris, vous propose une solution esthétique et durable pour traiter les caries profondes : les inlays-onlays.
Pourquoi choisir les inlays-onlays ?
- Conservation de la dent naturelle : Nous préservons un maximum de substance dentaire.
- Esthétique : La céramique se confond parfaitement avec la couleur naturelle de vos dents.
- Durabilité : Les inlays-onlays sont très résistants à la mastication et aux taches.
- Précision : Les prothèses sont réalisées sur mesure pour un ajustement parfait.
N’hésitez pas à nous contacter pour prendre rendez-vous et bénéficier d’un sourire éclatant et durable, Cabinet dentaire Emsallem à Paris
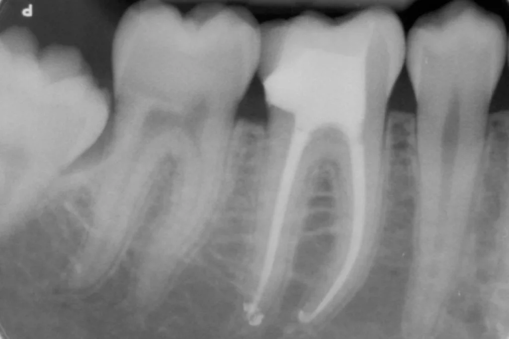
Restauration d’une dent dévitalisée avec un inlay / onlay en céramique



